Dott. Raffello Cortesi

Kidanu
35 anni.

Breve descrizione del caso

Kidanu, 35 anni: Breve descrizione del caso


Dati

Nome

Kidanu

 Età

35

 Motivo dell’intervento

Descrizione

 Specialista

dott. Guglielmo Meschia

 

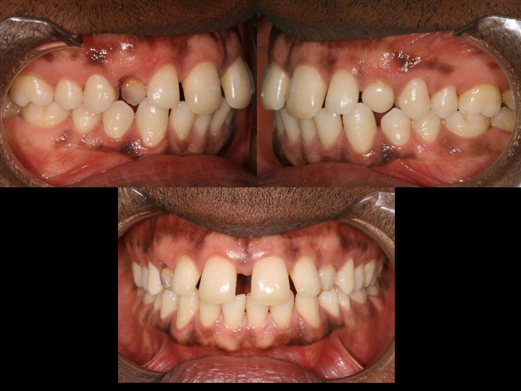
Descrizione del caso clinico

 Anamnesi

Descrizione

 Trattamento

Descrizione

 

Foto e documentazione